EphB1单克隆抗体[5F10A]

AccuSift
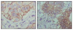
EphB1 Mouse Monoclonal antibody[5F10A]
ELK; NET; Hek6; EPHT2; FLJ37986; EPHB1
货号 名称 规格 价格 货期 数量
AC2165 EphB1单克隆抗体[5F10A] 50ug ¥1250 1周
AC2165 EphB1单克隆抗体[5F10A] 100ug ¥2200 1周

EhpB1: EPH receptor B1. It is a receptor for ephrin-B family members. Ephrin receptors and their ligands, the ephrins, medate numerous developmental processes, particularly in the nervous system. Based on their structures and sequence relationships, ephrins are divided into the ephrin-A (EFNA) class, which are anchored to the membrane by a glycosylphosphatidylinositol linkage, and the ephrin-B (EFNB) class, which are transmembrane proteins. The Eph family of receptors are divided into 2 groups based on the similarity of their extracellular domain sequences and their affinities for binding ephrin-A and ephrin-B ligands. Ephrin receptors make up the largest subgroup of the receptor tyrosine kinase (RTK) family.



Aliases:    ELK; NET; Hek6; EPHT2; EPHB1    

Entrez GeneID:    2047    

Swissprot:    P54762    

WB Predicted band size :   110kDa    

Host/Isotype :   Mouse IgG1    

Species Reactivity :   Human    

Immunogen :   Purified recombinant fragment of EphB1 (aa19-133) expressed in E. Coli.    

操作说明

WB    1/500 - 1/2000    

IHC    1/200 - 1/1000    

ELISA    1/10000    

参考文献