PGR单克隆抗体[2E9F2]

AccuSift
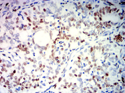
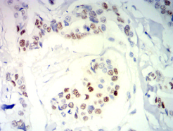
PGR Mouse Monoclonal antibody[2E9F2]
PR; NR3C3
货号 名称 规格 价格 货期 数量
AC3158 PGR单克隆抗体[2E9F2] 50ug ¥1250 1周
AC3158 PGR单克隆抗体[2E9F2] 100ug ¥2200 1周

This gene encodes a member of the steroid receptor superfamily. The encoded protein mediates the physiological effects of progesterone, which plays a central role in reproductive events associated with the establishment and maintenance of pregnancy. This gene uses two distinct promotors and translation start sites in the first exon to produce several transcript variants, both protein coding and non-protein coding. Two of the isoforms (A and B) are identical except for an additional 165 amino acids found in the N-terminus of isoform B and mediate their own response genes and physiologic effects with little overlap. [provided by RefSeq, Sep 2015]


Aliases:    PR; NR3C3    

Entrez GeneID:    5241    

Swissprot:    P06401    

WB Predicted band size:    99kDa    

Host/Isotype:    Mouse IgG1    

Species Reactivity:    Human, Mouse    

Immunogen:    Purified recombinant fragment of human PGR (AA: 166-411) expressed in E. Coli.    


操作说明

WB    1/500 - 1/2000    

IHC    1/200-1/1000    

FCM    1/200-1/400    

ELISA    1/10000    

参考文献