PGR单克隆抗体[2C11F]

AccuSift
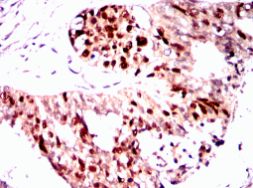
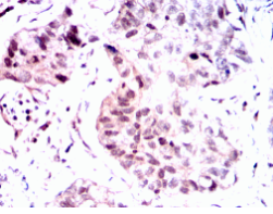
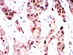
PGR Mouse Monoclonal antibody[2C11F]
PR; NR3C3; PGR
货号 名称 规格 价格 货期 数量
AC3156 PGR单克隆抗体[2C11F] 50ug ¥1250 1周
AC3156 PGR单克隆抗体[2C11F] 100ug ¥2200 1周

PGR: progesterone receptor. This gene encodes a member of the steroid receptor superfamily. The encoded protein mediates the physiological effects of progesterone, which plays a central role in reproductive events associated with the establishment and maintenance of pregnancy. This gene uses two distinct promotors and translation start sites in the first exon to produce two isoforms, A and B. The two isoforms are identical except for the additional 165 amino acids found in the N-terminus of isoform A only, and mediate their own response genes and physiologic effects with little overlap. The location of transcription initiation for isoform B has not been clearly determined.


Aliases:    PR; NR3C3; PGR    

Entrez GeneID:    5241    

Swissprot :   P06401    

Host/Isotype:    Mouse IgG2b    

Species Reactivity:    Human    

Immunogen:    Purified recombinant fragment of PGR (aa731-909) expressed in E. Coli.    

操作说明

IHC    1/200 - 1/1000    

FCM    1/200 - 1/400    

ELISA    1/10000    

参考文献