PARK7单克隆抗体[2B161]

AccuSift
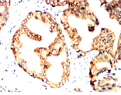
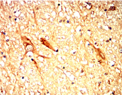
PARK7 Mouse Monoclonal antibody[2B161]
DJ1; DJ-1; GATD2; HEL-S-67p
货号 名称 规格 价格 货期 数量
AC3094 PARK7单克隆抗体[2B161] 50ug ¥1250 1周
AC3094 PARK7单克隆抗体[2B161] 100ug ¥2200 1周

The product of this gene belongs to the peptidase C56 family of proteins. It acts as a positive regulator of androgen receptor-dependent transcription. It may also function as a redox-sensitive chaperone, as a sensor for oxidative stress, and it apparently protects neurons against oxidative stress and cell death. Defects in this gene are the cause of autosomal recessive early-onset Parkinson disease 7. Two transcript variants encoding the same protein have been identified for this gene.


Aliases :   DJ1; DJ-1; GATD2; HEL-S-67p    

Entrez GeneID:    11315    

Swissprot:    Q99497       

WB Predicted band size:    19.8kDa    

Host/Isotype :   Mouse IgG1    

Species Reactivity:    Human    

Immunogen :   Purified recombinant fragment of human PARK7 (AA: 1-189) expressed in E. Coli.    

操作说明

WB    1/500 - 1/2000    

IHC    1/200 - 1/1000    

FCM    1/200 - 1/400    

ELISA    1/10000    

参考文献