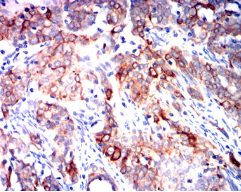
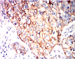
NDC80单克隆抗体[4B12H]

AccuSift
NDC80 Mouse Monoclonal antibody[4B12H]
HEC; HEC1; TID3; KNTC2; HsHec1; hsNDC80
货号 名称 规格 价格 货期 数量
AC2967 NDC80单克隆抗体[4B12H] 50ug ¥1250 1周
AC2967 NDC80单克隆抗体[4B12H] 100ug ¥2200 1周

This gene encodes a component of the NDC80 kinetochore complex. The encoded protein consists of an N-terminal microtubule binding domain and a C-terminal coiled-coiled domain that interacts with other components of the complex. This protein functions to organize and stabilize microtubule-kinetochore interactions and is required for proper chromosome segregation. [provided by RefSeq, Oct 2011]

   


Aliases:    HEC; HEC1; TID3; KNTC2; HsHec1; hsNDC80    

Entrez GeneID:   10403    

Swissprot :   O14777     

WB Predicted band size:    74kDa    

Host/Isotype :   Mouse IgG1    

Species Reactivity:    Human    

Immunogen :   Purified recombinant fragment of human NDC80 (AA: 443-642) expressed in Mammalian.    

操作说明

WB    1/500 - 1/2000    

IHC    1/200 - 1/1000    

FCM    1/200 - 1/400    

ELISA    1/10000    

参考文献