MUC5AC单克隆抗体[8H8G]

AccuSift
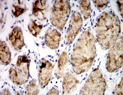
MUC5AC Mouse Monoclonal antibody[8H8G]
TBM; leB; MUC5; mucin
货号 名称 规格 价格 货期 数量
AC2923 MUC5AC单克隆抗体[8H8G] 50ug ¥1250 1周
AC2923 MUC5AC单克隆抗体[8H8G] 100ug ¥2200 1周

MUC5AC (Mucin 5AC, Oligomeric Mucus/Gel-Forming) is a Protein Coding gene. Diseases associated with MUC5AC include stomach cancer and pancreatic ductal carcinoma. Among its related pathways are O-linked glycosylation and Transport to the Golgi and subsequent modification. GO annotations related to this gene include extracellular matrix structural constituent. An important paralog of this gene is OTOG.

   


Aliases:    TBM; leB; MUC5; mucin    

Entrez GeneID:    4586    

Swissprot:    P98088    

WB Predicted band size:    585kDa    

Host/Isotype:    Mouse IgG2a    

Species Reactivity:    Human    

Immunogen:    Purified recombinant fragment of human MUC5AC (AA: 5528-5627) expressed in E. Coli.    

操作说明

IHC    1/200 - 1/1000    

FCM    1/200 - 1/400    

ELISA    1/10000    

参考文献