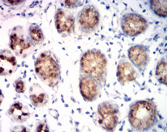
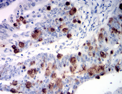
MUC5AC单克隆抗体[2G2F6]

AccuSift
MUC5AC Mouse Monoclonal antibody[2G2F6]
TBM; leB; MUC5; mucin
货号 名称 规格 价格 货期 数量
AC2920 MUC5AC单克隆抗体[2G2F6] 50ug ¥1250 1周
AC2920 MUC5AC单克隆抗体[2G2F6] 100ug ¥2200 1周

MUC5AC is a Protein Coding gene. Diseases associated with MUC5AC include Barrett Esophagus and Biliary Papillomatosis. Among its related pathways are Metabolism of proteins and CLEC7A (Dectin-1) signaling. Gene Ontology (GO) annotations related to this gene include extracellular matrix structural constituent. An important paralog of this gene is MUC5B.

  

Aliases:    TBM; leB; MUC5; mucin    

Entrez GeneID:    4586    

Swissprot :   P98088      

WB Predicted band size :   585.6kDa    

Host/Isotype:    Mouse IgG2a    

Species Reactivity:    Human    

Immunogen:    Purified recombinant fragment of human MUC5AC (AA: 28-327) expressed in E. Coli.    

操作说明

IHC    1/200-1/1000    

ELISA    1/10000    

参考文献