MUC2单克隆抗体[1C8A5]

AccuSift
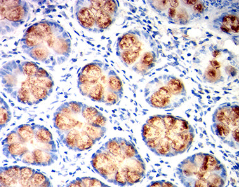
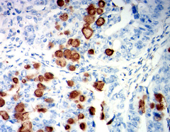
MUC2 Mouse Monoclonal antibody[1C8A5]
MLP; SMUC; MUC-2
货号 名称 规格 价格 货期 数量
AC2916 MUC2单克隆抗体[1C8A5] 50ug ¥1250 1周
AC2916 MUC2单克隆抗体[1C8A5] 100ug ¥2200 1周

This gene encodes a member of the mucin protein family. Mucins are high molecular weight glycoproteins produced by many epithelial tissues. The protein encoded by this gene is secreted and forms an insoluble mucous barrier that protects the gut lumen. The protein polymerizes into a gel of which 80% is composed of oligosaccharide side chains by weight. The protein features a central domain containing tandem repeats rich in threonine and proline that varies between 50 and 115 copies in different individuals. Downregulation of this gene has been observed in patients with Crohn disease and ulcerative colitis.

  


Aliases:    MLP; SMUC; MUC-2    

Entrez GeneID:    4583    

Swissprot :   Q02817       

WB Predicted band size:    540kDa    

Host/Isotype:    Mouse IgG1    

Species Reactivity:    Human    

Immunogen:    Purified recombinant fragment of human MUC2 (AA: 4373-4557) expressed in E. Coli.    

操作说明

IHC    1/200-1/1000    

FCM    1/200-1/400    

ELISA    1/10000    

参考文献