M6PR单克隆抗体[6G11E]

AccuSift
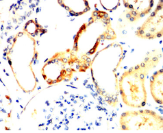
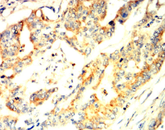
M6PR Mouse Monoclonal antibody[6G11E]
SMPR; MPR46; CD-MPR; MPR 46; MPR-46; CD-M6PR
货号 名称 规格 价格 货期 数量
AC2763 M6PR单克隆抗体[6G11E] 50ug ¥1250 1周
AC2763 M6PR单克隆抗体[6G11E] 100ug ¥2200 1周

This gene encodes a member of the P-type lectin family. P-type lectins play a critical role in lysosome function through the specific transport of mannose-6-phosphate-containing acid hydrolases from the Golgi complex to lysosomes. The encoded protein functions as a homodimer and requires divalent cations for ligand binding. Alternatively spliced transcript variants encoding multiple isoforms have been observed for this gene. A pseudogene of this gene is located on the long arm of chromosome X.



Aliases:    SMPR; MPR46; CD-MPR; MPR 46; MPR-46; CD-M6PR    

Entrez GeneID :  4074    

Swissprot:    P20645    

WB Predicted band size:    31kDa    

Host/Isotype :   Mouse IgG1    

Species Reactivity:    Human    

Immunogen:    Purified recombinant fragment of human M6PR (AA: 27-277) expressed in E. Coli.    

操作说明

IHC    1/200 - 1/1000    

IF/ICC    1/50 - 1/200    

FCM    1/200 - 1/400    

ELISA    1/10000    

参考文献