M6PR单克隆抗体[1B11C]

AccuSift
M6PR Mouse Monoclonal antibody[1B11C]
SMPR; MPR46; CD-MPR; MPR 46; MPR-46; CD-M6PR
货号 名称 规格 价格 货期 数量
AC2761 M6PR单克隆抗体[1B11C] 50ug ¥1250 1周
AC2761 M6PR单克隆抗体[1B11C] 100ug ¥2200 1周

This gene encodes a member of the P-type lectin family. P-type lectins play a critical role in lysosome function through the specific transport of mannose-6-phosphate-containing acid hydrolases from the Golgi complex to lysosomes. The encoded protein functions as a homodimer and requires divalent cations for ligand binding. Alternatively spliced transcript variants encoding multiple isoforms have been observed for this gene. A pseudogene of this gene is located on the long arm of chromosome X.


Aliases :   SMPR; MPR46; CD-MPR; MPR 46; MPR-46; CD-M6PR    

Entrez GeneID :   4074    

Swissprot :   P20645    

WB Predicted band size:    30.9kDa    

Host/Isotype :   Mouse IgG2b    

Species Reactivity :   Human, Mouse    

Immunogen :   Purified recombinant fragment of human M6PR (AA: 124-277) expressed in E. Coli.    


操作说明

WB    1/500 - 1/2000    

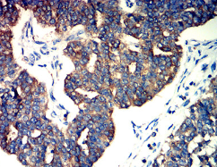
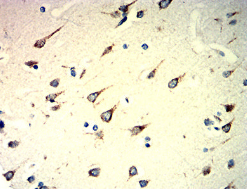
IHC    1/200 - 1/1000    

FCM    1/200 - 1/400    

ELISA    1/10000    

参考文献