LPP单克隆抗体[8B3A1]

AccuSift
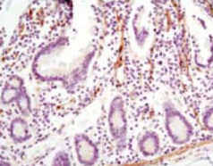
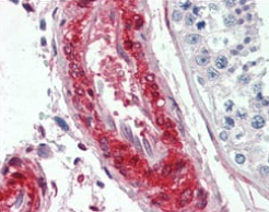
LPP Mouse Monoclonal antibody[8B3A1]
货号 名称 规格 价格 货期 数量
AC2742 LPP单克隆抗体[8B3A1] 50ug ¥1250 1周
AC2742 LPP单克隆抗体[8B3A1] 100ug ¥2200 1周

LIM domain containing preferred translocation partner in lipoma. The Zyxin family of proteins contains five members, Ajuba, LIMD1, LPP,TRIP6 and Zyxin. LPP (LIM-containing lipoma-preferred partner), a LIM domain-containing scaffolding protein contains three LIM domains at its carboxy terminus, which are preceded by a proline-rich pre-LIM region containing a number of protein interaction domains. LPP, an 80 kDa protein, localizes to sites of cell adhesion, such as focal adhesions and cell-cell contacts,and shuttles to the nucleus where it has transcriptional activation capacity.The human LPP gene maps to chromosomal location 3q28, and preferentially translocates to the HMGIC gene in a subclass of human benign mesenchymal tumors known as lipomas.



Aliases :   LPP    

Entrez GeneID:    4026    

Swissprot:    Q93052    

WB Predicted band size:    66kDa    

Host/Isotype :   Mouse IgG1    

Species Reactivity:    Human,Mouse,Monkey,Hamster    

Immunogen:    Purified recombinant fragment of human LPP expressed in E. Coli.    

操作说明

WB    1/500 - 1/2000    

IHC    1/200 - 1/1000    

IF/ICC    1/200 - 1/1000    

ELISA    1/10000    

参考文献