ALPP单克隆抗体[3E5C7]

AccuSift
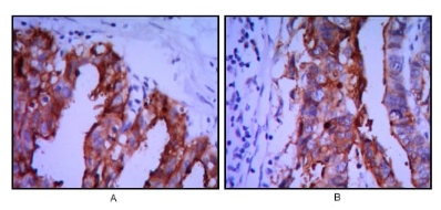
ALPP Mouse Monoclonal antibody[3E5C7]
ALP; PALP; PLAP; FLJ61142; ALPP
货号 名称 规格 价格 货期 数量
AC1109 ALPP单克隆抗体[3E5C7] 50ug ¥1250 1周
AC1109 ALPP单克隆抗体[3E5C7] 100ug ¥2200 1周

There are at least four distinct but related alkaline phosphatases: intestinal, placental, placental-like, and liver/bone/kidney (tissue non-specific). The first three are located together on chromosome 2 while the tissue non-specific form is located on chromosome 1. The product of this gene is a membrane bound glycosylated enzyme, also referred to as the heat stable form, that is expressed primarily in the placenta although it is closely related to the intestinal form of the enzyme as well as to the placental-like form. The coding sequence for this form of alkaline phosphatase is unique in that the 3' untranslated region contains multiple copies of an Alu family repeat. In addition, this gene is polymorphic and three common alleles (type 1, type 2 and type 3) for this form of alkaline phosphatase have been well characterized.


Aliases :   ALP; PALP; PLAP; FLJ61142; ALPP    

Entrez GeneID :   250    

Swissprot :  P05187      

WB Predicted band size :   58kDa    

Host/Isotype :   Mouse IgG2b    

Species Reactivity :   Human    

Immunogen :   Purified recombinant fragment of human ALPP expressed in E. Coli.    

操作说明

WB    1/500 - 1/2000    

IHC    1/200 - 1/1000    

ELISA    1/10000    

参考文献