KRT10单克隆抗体[1C3D9]

AccuSift
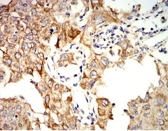
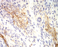
KRT10 Mouse Monoclonal antibody[1C3D9]
BIE; EHK; K10; KPP; BCIE; CK10
货号 名称 规格 价格 货期 数量
AC2673 KRT10单克隆抗体[1C3D9] 50ug ¥1250 1周
AC2673 KRT10单克隆抗体[1C3D9] 100ug ¥2200 1周

This gene encodes a member of the type I (acidic) cytokeratin family, which belongs to the superfamily of intermediate filament (IF) proteins. Keratins are heteropolymeric structural proteins which form the intermediate filament. These filaments, along with actin microfilaments and microtubules, compose the cytoskeleton of epithelial cells. Mutations in this gene are associated with epidermolytic hyperkeratosis. This gene is located within a cluster of keratin family members on chromosome 17q21.


Aliases:    BIE; EHK; K10; KPP; BCIE; CK10    

Entrez GeneID:    3858    

Swissprot :   P13645    

WB Predicted band size :   58.8kDa    

Host/Isotype:    Mouse IgG1    

Species Reactivity:    Human,Monkey    

Immunogen :   Purified recombinant fragment of human KRT10 (AA: 345-454 ) expressed in E. Coli.    


操作说明

WB    1/500 - 1/2000    

IHC    1/200 - 1/1000    

ELISA    1/10000    

参考文献