KEAP1单克隆抗体[7GL10]

AccuSift
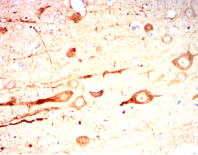
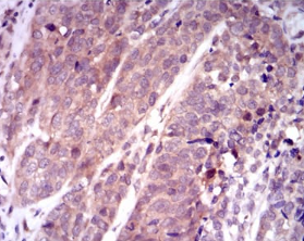
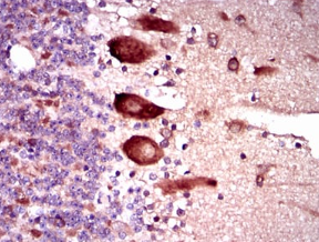
KEAP1 Mouse Monoclonal antibody[7GL10]
INrf2; KLHL19
货号 名称 规格 价格 货期 数量
AC2631 KEAP1单克隆抗体[7GL10] 50ug ¥1250 1周
AC2631 KEAP1单克隆抗体[7GL10] 100ug ¥2200 1周

This gene encodes a protein containing KELCH-1 like domains, as well as a BTB/POZ domain. Kelch-like ECH-associated protein 1 interacts with NF-E2-related factor 2 in a redox-sensitive manner and the dissociation of the proteins in the cytoplasm is followed by transportation of NF-E2-related factor 2 to the nucleus. This interaction results in the expression of the catalytic subunit of gamma-glutamylcysteine synthetase. Two alternatively spliced transcript variants encoding the same isoform have been found for this gene.



Aliases:    INrf2; KLHL19    

Entrez GeneID :   9817    

Swissprot:    Q14145    

WB Predicted band size:    69.7kDa    

Host/Isotype :   Mouse IgG1    

Species Reactivity:    Human,Mouse,Rat,Rabbit,Monkey    

Immunogen:    Purified recombinant fragment of human KEAP1 (AA: 380-624 ) expressed in E. Coli.    

操作说明

IHC    1/200 - 1/1000    

FCM    1/200 - 1/400    

ELISA    1/10000    

参考文献