ITGA2B单克隆抗体[2E10C]

AccuSift
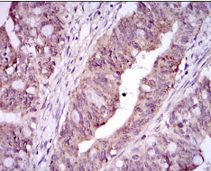
ITGA2B Mouse Monoclonal antibody[2E10C]
GT; GTA; CD41; GP2B; HPA3; CD41B; GPIIb; BDPLT2
货号 名称 规格 价格 货期 数量
AC2574 ITGA2B单克隆抗体[2E10C] 50ug ¥1250 1周
AC2574 ITGA2B单克隆抗体[2E10C] 100ug ¥2200 1周

ITGA2B encodes integrin alpha chain 2b. Integrins are heterodimeric integral membrane proteins composed of an alpha chain and a beta chain. Alpha chain 2b undergoes post-translational cleavage to yield disulfide-linked light and heavy chains that join with beta 3 to form a fibronectin receptor expressed in platelets that plays a crucial role in coagulation. Mutations that interfere with this role result in thrombasthenia. In addition to adhesion, integrins are known to participate in cell-surface mediated signalling.



Aliases:    GT; GTA; CD41; GP2B; HPA3; CD41B; GPIIb; BDPLT2    

Entrez GeneID:    3674    

Swissprot :   P08514    

WB Predicted band size :   113.4kDa    

Host/Isotype :   Mouse IgG1    

Species Reactivity:    Human    

Immunogen:    Purified recombinant fragment of human ITGA2B (AA: 45-149) expressed in E. Coli.    

操作说明

IHC    1/200 - 1/1000    

FCM    1/200 - 1/400    

ELISA    1/10000    

参考文献