IL1B单克隆抗体[6F12D]

AccuSift
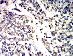
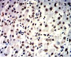
IL1B Mouse Monoclonal antibody[6F12D]
IL-1; IL1F2; IL1beta; IL1-BETA
货号 名称 规格 价格 货期 数量
AC2545 IL1B单克隆抗体[6F12D] 50ug ¥1250 1周
AC2545 IL1B单克隆抗体[6F12D] 100ug ¥2200 1周

The protein encoded by this gene is a member of the interleukin 1 cytokine family. This cytokine is produced by activated macrophages as a proprotein, which is proteolytically processed to its active form by caspase 1. This cytokine is an important mediator of the inflammatory response, and is involved in a variety of cellular activities, including cell proliferation, differentiation, and apoptosis. The induction of cyclooxygenase2 by this cytokine in the central nervous system is found to contribute to inflammatory pain hypersensitivity. This gene and eight other interleukin 1 family genes form a cytokine gene cluster on chromosome 2.



Aliases:    IL-1; IL1F2; IL1beta; IL1-BETA    

Entrez GeneID:    3553    

Swissprot:    P01584    

WB Predicted band size:    30.7kDa    

Host/Isotype:    Mouse IgG1    

Species Reactivity:    Human    

Immunogen :   Purified recombinant fragment of human IL1B (AA: 117-269) expressed in E. Coli.    

操作说明

IHC    1/200 - 1/1000    

IF/ICC    1/200 - 1/1000    

FCM    1/200 - 1/400    

ELISA    1/10000    

参考文献