IL1B单克隆抗体[3A6E8]

AccuSift
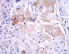
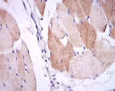
IL1B Mouse Monoclonal antibody[3A6E8]
IL-1; IL1F2; IL1-BETA
货号 名称 规格 价格 货期 数量
AC2543 IL1B单克隆抗体[3A6E8] 50ug ¥1250 1周
AC2543 IL1B单克隆抗体[3A6E8] 100ug ¥2200 1周

The modification of proteins with ubiquitin is an important cellular mechanism for targeting abnormal or short-lived proteins for degradation. Ubiquitination involves at least three classes of enzymes: ubiquitin-activating enzymes, or E1s, ubiquitin-conjugating enzymes, or E2s, and ubiquitin-protein ligases, or E3s. This gene encodes a member of the E2 ubiquitin-conjugating enzyme family. Four alternatively spliced transcript variants encoding the same protein have been found for this gene.



Aliases:    IL-1; IL1F2; IL1-BETA    

Entrez GeneID:    3553    

Swissprot :   P01584    

WB Predicted band size:    31kDa    

Host/Isotype :   Mouse IgG1    

Species Reactivity :   Human    

Immunogen:    Purified recombinant fragment of human IL1B expressed in E. Coli.    

操作说明

IHC    1/200 - 1/1000    

IF/ICC    1/200 - 1/1000    

ELISA    1/10000    

参考文献