GUCY1A3单克隆抗体[3G668]

AccuSift
GUCY1A3 Mouse Monoclonal antibody[3G668]
GUCA3; GC-SA3; GUC1A3; GUCSA3; GUCY1A1
货号 名称 规格 价格 货期 数量
AC2402 GUCY1A3单克隆抗体[3G668] 50ug ¥1250 1周
AC2402 GUCY1A3单克隆抗体[3G668] 100ug ¥2200 1周

Soluble guanylate cyclases are heterodimeric proteins that catalyze the conversion of GTP to 3',5'-cyclic GMP and pyrophosphate. The protein encoded by this gene is an alpha subunit of this complex and it interacts with a beta subunit to form the guanylate cyclase enzyme, which is activated by nitric oxide. Several transcript variants encoding a few different isoforms have been found for this gene.



Aliases:    GUCA3; GC-SA3; GUC1A3; GUCSA3; GUCY1A1    

Entrez GeneID:    2982    

Swissprot :   Q02108       

WB Predicted band size:   77.5kDa    

Host/Isotype :   Mouse IgG1    

Species Reactivity:    Human    

Immunogen :   Purified recombinant fragment of human GUCY1A3 (AA: 22-214) expressed in E. Coli.    

操作说明

WB    1/500 - 1/2000    

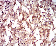
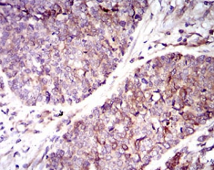
IHC    1/200 - 1/1000    

IF/ICC    1/200 - 1/1000    

FCM    1/200 - 1/400    

ELISA    1/10000    

参考文献