ETS1单克隆抗体[8A8E10]

AccuSift
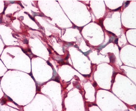
ETS1 Mouse Monoclonal antibody[8A8E10]
ETS-1; EWSR2; FLJ10768; ETS1
货号 名称 规格 价格 货期 数量
AC2205 ETS1单克隆抗体[8A8E10] 50ug ¥1250 1周
AC2205 ETS1单克隆抗体[8A8E10] 100ug ¥2200 1周

The ETS1 is a transcription factor known to regulate expression of a number of genes involved in extracellular matrix remodeling. ETS1 is absent from normal gastric epithelium but is expressed in approximately 60% of gastric carcinomas and oral squamous cell carcinomas with a significant correlation to the tumor stage.



Aliases :   ETS-1; EWSR2; FLJ10768; ETS1    

Entrez GeneID :   2113    

Swissprot :   P14921    

WB Predicted band size :   50.4kDa    

Host/Isotype :   Mouse IgG1    

Species Reactivity:    Human,Mouse    

Immunogen:    Purified recombinant fragment of human ETS1 expressed in E. Coli.    

操作说明

WB    1/500 - 1/2000    

IHC    1/200 - 1/1000    

IF/ICC    1/200 - 1/1000    

FCM    1/200 - 1/400    

ELISA    1/10000    

参考文献