ETS1单克隆抗体[10D2C12]

AccuSift
ETS1 Mouse Monoclonal antibody[10D2C12]
ETS-1; EWSR2; FLJ10768; ETS1
货号 名称 规格 价格 货期 数量
AC2204 ETS1单克隆抗体[10D2C12] 50ug ¥1250 1周
AC2204 ETS1单克隆抗体[10D2C12] 100ug ¥2200 1周

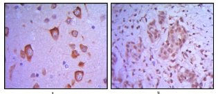
The ETS1 is a transcription factor known to regulate expression of a number of genes involved in extracellular matrix remodeling. ETS1 is absent from normal gastric epithelium but is expressed in approximately 60% of gastric carcinomas and oral squamous cell carcinomas with a significant correlation to the tumor stage.

   


Aliases:    ETS-1; EWSR2; FLJ10768; ETS1    

Entrez GeneID:    2113    

Swissprot :   P14921    

WB Predicted band size :   50.4kDa    

Host/Isotype :   Mouse IgG1    

Species Reactivity :   Human    

Immunogen :   Purified recombinant fragment of human ETS1 expressed in E. Coli.    

操作说明

WB    1/500 - 1/2000    

IHC    1/200 - 1/1000    

ELISA    1/10000    

参考文献