EPCAM单克隆抗体[4D6E7]

AccuSift
EPCAM Mouse Monoclonal antibody[4D6E7]
ESA; KSA; M4S1; MK-1; DIAR5; EGP-2; EGP40; KS1/4; MIC18; TROP1; EGP314; HNPCC8; TACSTD1
货号 名称 规格 价格 货期 数量
AC2151 EPCAM单克隆抗体[4D6E7] 50ug ¥1250 1周
AC2151 EPCAM单克隆抗体[4D6E7] 100ug ¥2200 1周

This gene encodes a carcinoma-associated antigen and is a member of a family that includes at least two type I membrane proteins. This antigen is expressed on most normal epithelial cells and gastrointestinal carcinomas and functions as a homotypic calcium-independent cell adhesion molecule. The antigen is being used as a target for immunotherapy treatment of human carcinomas. Mutations in this gene result in congenital tufting enteropathy. [provided by RefSeq, Dec 2008]


Aliases:    ESA; KSA; M4S1; MK-1; DIAR5; EGP-2; EGP40; KS1/4; MIC18; TROP1; EGP314; HNPCC8; TACSTD1    

Entrez GeneID:    4072    

Swissprot :   P16422    

WB Predicted band size:    35kDa    

Host/Isotype :   Mouse IgG2a    

Species Reactivity :   Human,Mouse,Rat,Monkey    

Immunogen :   Purified recombinant fragment of human EPCAM (AA: extra(116-265)) expressed in E. Coli.    

操作说明

WB    1/500 - 1/2000    

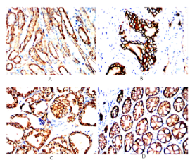
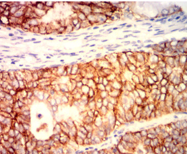
IHC    1/200-1/1000    

FCM    1/200-1/400    

ELISA    1/10000    

参考文献