EIF2A单克隆抗体[3A711]

AccuSift
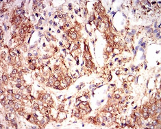
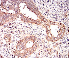
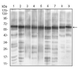
EIF2A Mouse Monoclonal antibody[3A711]
CDA02; EIF-2A; MST089; MSTP004; MSTP089
货号 名称 规格 价格 货期 数量
AC2131 EIF2A单克隆抗体[3A711] 50ug ¥1250 1周
AC2131 EIF2A单克隆抗体[3A711] 100ug ¥2200 1周

EIF2A is a 65-kD protein that catalyzes the formation of puromycin-sensitive 80S preinitiation complexes.



Aliases :   CDA02; EIF-2A; MST089; MSTP004; MSTP089    

Entrez GeneID:    83939    

Swissprot:    Q9BY44      

WB Predicted band size:    65kDa    

Host/Isotype:    Mouse IgG1    

Species Reactivity:    Human,Mouse,Monkey,Rat    

Immunogen :   Purified recombinant fragment of human EIF2A (AA: 448-576) expressed in E. Coli.    

操作说明

WB    1/500 - 1/2000    

IHC    1/200 - 1/1000    

FCM    1/200 - 1/400    

ELISA    1/10000    

参考文献