EGF单克隆抗体[9D7F1]

AccuSift
EGF Mouse Monoclonal antibody[9D7F1]
URG; HOMG4; EGF
货号 名称 规格 价格 货期 数量
AC2121 EGF单克隆抗体[9D7F1] 50ug ¥1250 1周
AC2121 EGF单克隆抗体[9D7F1] 100ug ¥2200 1周

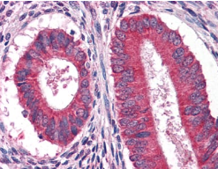
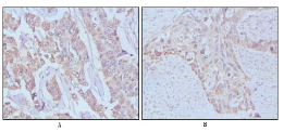
Epidermal growth factor has a profound effect on the differentiation of specific cells in vivo and is a potent mitogenic factor for a variety of cultured cells of both ectodermal and mesodermal origin. The EGF precursor is believed to exist as a membrane-bound molecule which is proteolytically cleaved to generate the 53-amino acid peptide hormone that stimulates cells to divide.



Aliases:    URG; HOMG4; EGF    

Entrez GeneID:   1950    

Swissprot:   P01133    

WB Predicted band size:    134kDa    

Host/Isotype :   Mouse IgG1    

Species Reactivity:    Human    

Immunogen :   Purified recombinant fragment of human EGF expressed in E. Coli.    

操作说明

IHC    1/200 - 1/1000    

ELISA    1/10000    

参考文献