EGFR mutant单克隆抗体[5G936]

AccuSift
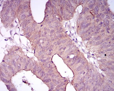
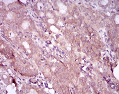
EGFR mutant Mouse Monoclonal antibody[5G936]
ERBB; HER1; mENA; ERBB1; PIG61
货号 名称 规格 价格 货期 数量
AC2125 EGFR mutant单克隆抗体[5G936] 50ug ¥1250 1周
AC2125 EGFR mutant单克隆抗体[5G936] 100ug ¥2200 1周

The protein encoded by this gene is a transmembrane glycoprotein that is a member of the protein kinase superfamily. This protein is a receptor for members of the epidermal growth factor family. EGFR is a cell surface protein that binds to epidermal growth factor. Binding of the protein to a ligand induces receptor dimerization and tyrosine autophosphorylation and leads to cell proliferation. Mutations in this gene are associated with lung cancer. Multiple alternatively spliced transcript variants that encode different protein isoforms have been found for this gene.



Aliases:    ERBB; HER1; mENA; ERBB1; PIG61    

Entrez GeneID:    1956    

Swissprot:    P00533    

WB Predicted band size:    175kDa    

Host/Isotype :   Mouse IgG1    

Species Reactivity:    Human    

Immunogen:    Purified recombinant fragment of human EGFR mutant (AA: 693-893) expressed in E. Coli.    

操作说明

WB    1/500 - 1/2000    

IHC    1/200 - 1/1000    

FCM    1/200 - 1/400    

ELISA    1/10000    

参考文献