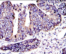
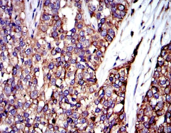
CRK单克隆抗体[3G11C]

AccuSift
CRK Mouse Monoclonal antibody[3G11C]
CRKII
货号 名称 规格 价格 货期 数量
AC1991 CRK单克隆抗体[3G11C] 50ug ¥1250 1周
AC1991 CRK单克隆抗体[3G11C] 100ug ¥2200 1周

This gene encodes a member of an adapter protein family that binds to several tyrosine-phosphorylated proteins. The product of this gene has several SH2 and SH3 domains (src-homology domains) and is involved in several signaling pathways, recruiting cytoplasmic proteins in the vicinity of tyrosine kinase through SH2-phosphotyrosine interaction. The N-terminal SH2 domain of this protein functions as a positive regulator of transformation whereas the C-terminal SH3 domain functions as a negative regulator of transformation. Two alternative transcripts encoding different isoforms with distinct biological activity have been described.



Aliases:    CRKII    

Entrez GeneID:    1398    

Swissprot:    P46108     

WB Predicted band size:    42kDa    

Host/Isotype:    Mouse IgG2b    

Species Reactivity :   Human    

Immunogen:    Purified recombinant fragment of human CRK expressed in E. Coli.    

操作说明

IHC    1/200 - 1/1000    

IF/ICC    1/200 - 1/1000    

FCM    1/200 - 1/400    

ELISA    1/10000    

参考文献