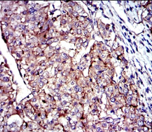
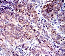
CD9单克隆抗体[5G6A1]

AccuSift
CD9 Mouse Monoclonal antibody[5G6A1]
MIC3; MRP-1; BTCC-1; DRAP-27; TSPAN29; FLJ99568; TSPAN-29
货号 名称 规格 价格 货期 数量
AC1840 CD9单克隆抗体[5G6A1] 50ug ¥1250 1周
AC1840 CD9单克隆抗体[5G6A1] 100ug ¥2200 1周

This gene encodes a member of the transmembrane 4 superfamily, also known as the tetraspanin family. Tetraspanins are cell surface glycoproteins with four transmembrane domains that form multimeric complexes with other cell surface proteins. The encoded protein functions in many cellular processes including differentiation, adhesion, and signal transduction, and expression of this gene plays a critical role in the suppression of cancer cell motility and metastasis.


Aliases:    MIC3; MRP-1; BTCC-1; DRAP-27; TSPAN29; FLJ99568; TSPAN-29    

Entrez GeneID:    928    

Swissprot:    P21926    

WB Predicted band size:    25kDa    

Host/Isotype:    Mouse IgG1    

Species Reactivity:    Human    

Immunogen :   Synthesized peptide of human CD9.    

操作说明

IHC    1/200 - 1/1000    

FCM    1/200 - 1/400    

ELISA    1/10000    

参考文献