CD99单克隆抗体[1B10E]

AccuSift
CD99 Mouse Monoclonal antibody[1B10E]
MIC2; HBA71; MIC2X; MIC2Y; MSK5X
货号 名称 规格 价格 货期 数量
AC1848 CD99单克隆抗体[1B10E] 50ug ¥1250 1周
AC1848 CD99单克隆抗体[1B10E] 100ug ¥2200 1周

The protein encoded by this gene is a cell surface glycoprotein involved in leukocyte migration, T-cell adhesion, ganglioside GM1 and transmembrane protein transport, and T-cell death by a caspase-independent pathway. In addition, the encoded protein may have the ability to rearrange the actin cytoskeleton and may also act as an oncosuppressor in osteosarcoma. This gene is found in the pseudoautosomal region of chromosomes X and Y and escapes X-chromosome inactivation. There is a related pseudogene located immediately adjacent to this locus.


Aliases:    MIC2; HBA71; MIC2X; MIC2Y; MSK5X    

Entrez GeneID:    4267    

Swissprot :   P14209      

WB Predicted band size:    18.8kDa    

Host/Isotype :   Mouse IgG1    

Species Reactivity:    Human, Mouse    

Immunogen:    Purified recombinant fragment of human CD99 (AA: 1-185) expressed in E. Coli.    

操作说明

WB    1/500 - 1/2000    

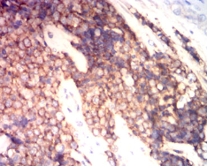
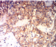
IHC    1/200-1/1000    

FCM    1/200-1/400    

ELISA    1/10000    

参考文献