CD126单克隆抗体[8F7G6]

AccuSift
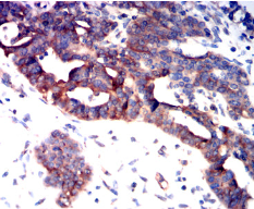
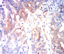
CD126 Mouse Monoclonal antibody[8F7G6]
IL6Q; gp80; CD126; HIES5; IL-6R; IL6RA; IL6RQ; IL-1Ra; IL-6RA; IL6QTL; IL-6R-2
货号 名称 规格 价格 货期 数量
AC1463 CD126单克隆抗体[8F7G6] 50ug ¥1250 1周
AC1463 CD126单克隆抗体[8F7G6] 100ug ¥2200 1周

This gene encodes a subunit of the interleukin 6 (IL6) receptor complex. Interleukin 6 is a potent pleiotropic cytokine that regulates cell growth and differentiation and plays an important role in the immune response. The IL6 receptor is a protein complex consisting of this protein and interleukin 6 signal transducer (IL6ST/GP130/IL6-beta), a receptor subunit also shared by many other cytokines. Dysregulated production of IL6 and this receptor are implicated in the pathogenesis of many diseases, such as multiple myeloma, autoimmune diseases and prostate cancer. Alternatively spliced transcript variants encoding distinct isoforms have been identified in this gene. A pseudogene of this gene is found on chromosome 9. [provided by RefSeq, Aug 2020]



Aliases:    IL6Q; gp80; CD126; HIES5; IL-6R; IL6RA; IL6RQ; IL-1Ra; IL-6RA; IL6QTL; IL-6R-1    

Entrez GeneID :   3570    

Swissprot :   P08887    

WB Predicted band size :   52kDa    

Host/Isotype :   Mouse IgG1    

Species Reactivity :   Human, Mouse    

Immunogen:    Purified recombinant fragment of human CD126 (AA: EXTRA 20-177) expressed in E. Coli.    

操作说明

WB    1/500 - 1/2000    

IHC    1/200 - 1/1000    

IF/ICC    1/200 - 1/1000    

FCM    1/200 - 1/400    

ELISA    1/10000    

参考文献