CD11a单克隆抗体[5G7C5]

AccuSift
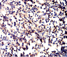
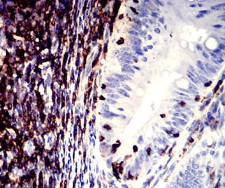
CD11a Mouse Monoclonal antibody[5G7C5]
ITGAL; LFA-1; LFA1A
货号 名称 规格 价格 货期 数量
AC1451 CD11a单克隆抗体[5G7C5] 50ug ¥1250 1周
AC1451 CD11a单克隆抗体[5G7C5] 100ug ¥2200 1周

ITGAL encodes the integrin alpha L chain. Integrins are heterodimeric integral membrane proteins composed of an alpha chain and a beta chain. This I-domain containing alpha integrin combines with the beta 2 chain (ITGB2) to form the integrin lymphocyte function-associated antigen-1 (LFA-1), which is expressed on all leukocytes. LFA-1 plays a central role in leukocyte intercellular adhesion through interactions with its ligands, ICAMs 1-3 (intercellular adhesion molecules 1 through 3), and also functions in lymphocyte costimulatory signaling. Two transcript variants encoding different isoforms have been found for this gene.



Aliases:    ITGAL; LFA-1; LFA1A    

Entrez GeneID:    3683    

Swissprot :   P20701    

WB Predicted band size:    128.8kDa    

Host/Isotype :   Mouse IgG2a    

Species Reactivity :   Human    

Immunogen:    Purified recombinant fragment of human CD11a (AA: extra 26-194) expressed in E. Coli.    

操作说明

WB    1/500 - 1/2000    

IHC    1/200 - 1/1000    

FCM    1/200 - 1/400    

ELISA    1/10000    

参考文献