CCND1单克隆抗体[2A5C9]

AccuSift
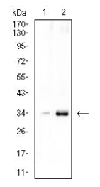
CCND1 Mouse Monoclonal antibody[2A5C9]
BCL1; PRAD1; U21B31; D11S287E
货号 名称 规格 价格 货期 数量
AC1397 CCND1单克隆抗体[2A5C9] 50ug ¥1250 1周
AC1397 CCND1单克隆抗体[2A5C9] 100ug ¥2200 1周

The protein encoded by this gene belongs to the highly conserved cyclin family, whose members are characterized by a dramatic periodicity in protein abundance throughout the cell cycle. Cyclins function as regulators of CDK kinases. Different cyclins exhibit distinct expression and degradation patterns which contribute to the temporal coordination of each mitotic event. This cyclin forms a complex with and functions as a regulatory subunit of CDK4 or CDK6, whose activity is required for cell cycle G1/S transition. This protein has been shown to interact with tumor suppressor protein Rb and the expression of this gene is regulated positively by Rb. Mutations, amplification and overexpression of this gene, which alters cell cycle progression, are observed frequently in a variety of human cancers.


Aliases:    BCL1; PRAD1; U21B31; D11S287E    

Entrez GeneID :   595    

Swissprot :   P24385    

WB Predicted band size :   33.7kDa    

Host/Isotype :   Mouse IgG1    

Species Reactivity :   Human, Mouse    

Immunogen :   Purified recombinant fragment of human CCND1 (AA: 1-295) expressed in E. Coli.    


操作说明

WB    1/500 - 1/2000    

FCM    1/200-1/400    

ELISA    1/10000    

参考文献