CBX4单克隆抗体[6C5G3]

AccuSift
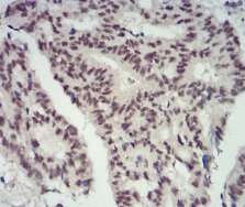
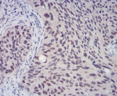
CBX4 Mouse Monoclonal antibody[6C5G3]
PC2; NBP16
货号 名称 规格 价格 货期 数量
AC1378 CBX4单克隆抗体[6C5G3] 50ug ¥1250 1周
AC1378 CBX4单克隆抗体[6C5G3] 100ug ¥2200 1周

CBX4 (chromobox homolog 4) is a protein-coding gene. Diseases associated with CBX4 include brain cancer. GO annotations related to this gene include chromatin binding and transcription corepressor activity. An important paralog of this gene is CBX8.



Aliases:    PC2; NBP16    

Entrez GeneID :   8535    

Swissprot :   O00257    

WB Predicted band size :   61.4kDa    

Host/Isotype:   Mouse IgG1    

Species Reactivity :   Human    

Immunogen :   Purified recombinant fragment of human CBX4 (AA: 397-514) expressed in E. Coli.    

操作说明

IHC    1/200 - 1/1000    

FCM    1/200 - 1/400    

ELISA    1/10000    

参考文献