CAMK4单克隆抗体[8C5B8]

AccuSift
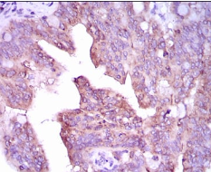
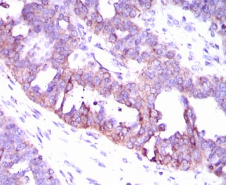
CAMK4 Mouse Monoclonal antibody[8C5B8]
IV; caMK; CaMK IV; CaMK-GR
货号 名称 规格 价格 货期 数量
AC1358 CAMK4单克隆抗体[8C5B8] 50ug ¥1250 1周
AC1358 CAMK4单克隆抗体[8C5B8] 100ug ¥2200 1周

The product of this gene belongs to the serine/threonine protein kinase family, and to the Ca(2+)/calmodulin-dependent protein kinase subfamily. This enzyme is a multifunctional serine/threonine protein kinase with limited tissue distribution, that has been implicated in transcriptional regulation in lymphocytes, neurons and male germ cells.



Aliases :   IV; caMK; CaMK IV; CaMK-GR    

Entrez GeneID :   814    

Swissprot :   Q16566     

WB Predicted band size:    58kDa    

Host/Isotype  :  Mouse IgG1    

Species Reactivity :   Human,Mouse    

Immunogen :   Purified recombinant fragment of human CAMK4 (AA: 35-292 ) expressed in E. Coli.    

操作说明

WB    1/500 - 1/2000    

IHC    1/200 - 1/1000    

IF/ICC    1/200 - 1/1000    

FCM    1/200 - 1/400    

ELISA    1/10000    

参考文献