CAMK2G单克隆抗体[8G0C1]

AccuSift
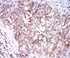
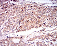
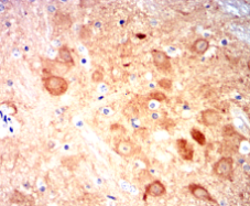
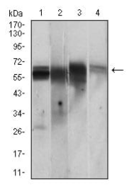
CAMK2G Mouse Monoclonal antibody[8G0C1]
CAMK; CAMKG; CAMK-II
货号 名称 规格 价格 货期 数量
AC1357 CAMK2G单克隆抗体[8G0C1] 50ug ¥1250 1周
AC1357 CAMK2G单克隆抗体[8G0C1] 100ug ¥2200 1周

The product of this gene is one of the four subunits of an enzyme which belongs to the serine/threonine protein kinase family, and to the Ca(2+)/calmodulin-dependent protein kinase subfamily. Calcium signaling is crucial for several aspects of plasticity at glutamatergic synapses. In mammalian cells the enzyme is composed of four different chains: alpha, beta, gamma, and delta. The product of this gene is a gamma chain. Many alternatively spliced transcripts encoding different isoforms have been described but the full-length nature of all the variants has not been determined.



Aliases:    CAMK; CAMKG; CAMK-II    

Entrez GeneID :   818    

Swissprot:    Q13555      

WB Predicted band size:   62.6kDa    

Host/Isotype :   Mouse IgG1    

Species Reactivity :   Human,Mouse,Rat,Monkey,Rabbit    

Immunogen:    Purified recombinant fragment of human CAMK2G (AA: 322-481) expressed in E. Coli.    

操作说明

WB    1/500 - 1/2000    

IHC    1/100 - 1/500    

FCM    1/200 - 1/400    

ELISA    1/10000    

参考文献