Calreticulin单克隆抗体[1G6A7]

AccuSift
Calreticulin Mouse Monoclonal antibody[1G6A7]
RO; CRT; SSA; cC1qR; FLJ26680; CALR
货号 名称 规格 价格 货期 数量
AC1355 Calreticulin单克隆抗体[1G6A7] 50ug ¥1250 1周
AC1355 Calreticulin单克隆抗体[1G6A7] 100ug ¥2200 1周

Calreticulin, also known as RO, CRT, SSA, cC1qR, FLJ26680, CALR. Entrez Protein NP_004334. It is a multifunctional protein that acts as a major Ca(2+)-binding (storage) protein in the lumen of the endoplasmic reticulum. It is also found in the nucleus, suggesting that it may have a role in transcription regulation. Calreticulin binds to the synthetic peptide KLGFFKR, which is almost identical to an amino acid sequence in the DNA-binding domain of the superfamily of nuclear receptors. Calreticulin binds to antibodies in certain sera of systemic lupus and Sjogren patients which contain anti-Ro/SSA antibodies, it is highly conserved among species, and it is located in the endoplasmic and sarcoplasmic reticulum where it may bind calcium. The amino terminus of calreticulin interacts with the DNA-binding domain of the glucocorticoid receptor and prevents the receptor from binding to its specific glucocorticoid response element. Calreticulin can inhibit the binding of androgen receptor to its hormone-responsive DNA element and can inhibit androgen receptor and retinoic acid receptor transcriptional activities in vivo, as well as retinoic acid-induced neuronal differentiation. Thus, calreticulin can act as an important modulator of the regulation of gene transcription by nuclear hormone receptors. Systemic lupus erythematosus is associated with increased autoantibody titers against calreticulin but calreticulin is not a Ro/SS-A antigen. Earlier papers referred to calreticulin as an Ro/SS-A antigen but this was later disproven. Increased autoantibody titer against human calreticulin is found in infants with complete congenital heart block of both the IgG and IgM classes.

  

Aliases :   RO; CRT; SSA; cC1qR; FLJ26680; CALR    

Entrez GeneID :   811    

Swissprot :   P27797    

WB Predicted band size :   48kDa    

Host/Isotype:   Mouse IgG2a    

Species Reactivity :   Human,Mouse,Rat,Rabbit    

Immunogen :   Synthetic peptide corresponding to aa (EEEDVPGQAKDELC) of human Calreticulin, conjugated to KLH.    

操作说明

WB    1/500 - 1/2000    

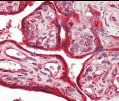
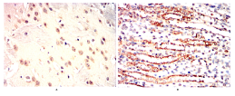
IHC    1/100 - 1/500    

IF/ICC    1/50 - 1/500    

FCM    1/200 - 1/400    

ELISA    1/10000    

参考文献