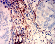
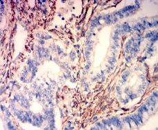
CALD1单克隆抗体[3A12G]

AccuSift
CALD1 Mouse Monoclonal antibody[3A12G]
CDM; HCAD; LCAD; H-CAD; L-CAD; NAG22
货号 名称 规格 价格 货期 数量
AC1351 CALD1单克隆抗体[3A12G] 50ug ¥1250 1周
AC1351 CALD1单克隆抗体[3A12G] 100ug ¥2200 1周

This gene encodes a calmodulin- and actin-binding protein that plays an essential role in the regulation of smooth muscle and nonmuscle contraction. The conserved domain of this protein possesses the binding activities to Ca(2+)-calmodulin, actin, tropomyosin, myosin, and phospholipids. This protein is a potent inhibitor of the actin-tropomyosin activated myosin MgATPase, and serves as a mediating factor for Ca(2+)-dependent inhibition of smooth muscle contraction. Alternative splicing of this gene results in multiple transcript variants encoding distinct isoforms. [provided by RefSeq, Jul 2008]



Aliases:   CDM; HCAD; LCAD; H-CAD; L-CAD; NAG22    

Entrez GeneID :   800    

Swissprot:    Q05682       

WB Predicted band size:    93.2kDa    

Host/Isotype :   Mouse IgG1    

Species Reactivity :   Human    

Immunogen:    Purified recombinant fragment of human CALD1 (AA: 26-207) expressed in E. Coli.    

操作说明

IHC    1/200 - 1/1000    

FCM    1/200 - 1/400    

ELISA    1/10000    

参考文献