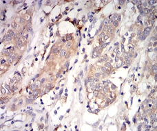
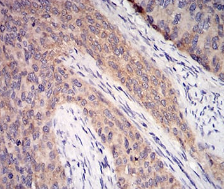
C1QA单克隆抗体[8B5B1]

AccuSift
C1QA Mouse Monoclonal antibody[8B5B1]
货号 名称 规格 价格 货期 数量
AC1334 C1QA单克隆抗体[8B5B1] 50ug ¥1250 1周
AC1334 C1QA单克隆抗体[8B5B1] 100ug ¥2200 1周

This gene encodes a major constituent of the human complement subcomponent C1q. C1q associates with C1r and C1s in order to yield the first component of the serum complement system. Deficiency of C1q has been associated with lupus erythematosus and glomerulonephritis. C1q is composed of 18 polypeptide chains: six A-chains, six B-chains, and six C-chains. Each chain contains a collagen-like region located near the N terminus and a C-terminal globular region. The A-, B-, and C-chains are arranged in the order A-C-B on chromosome 1. This gene encodes the A-chain polypeptide of human complement subcomponent C1q.



Entrez GeneID :   712    

Swissprot :   P02745    

WB Predicted band size:    26kDa    

Host/Isotype:    Mouse IgG2a    

Species Reactivity :   Human    

Immunogen:    Purified recombinant fragment of human C1QA (AA: 23-167) expressed in E. Coli.    

操作说明

IHC    1/200 - 1/1000    

FCM    1/200 - 1/400    

ELISA    1/10000    

参考文献