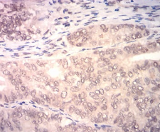
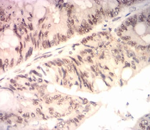
BRIP1单克隆抗体[4C6C8]

AccuSift
BRIP1 Mouse Monoclonal antibody[4C6C8]
OF; BACH1; FANCJ
货号 名称 规格 价格 货期 数量
AC1311 BRIP1单克隆抗体[4C6C8] 50ug ¥1250 1周
AC1311 BRIP1单克隆抗体[4C6C8] 100ug ¥2200 1周

The protein encoded by this gene is a member of the RecQ DEAH helicase family and interacts with the BRCT repeats of breast cancer, type 1 (BRCA1). The bound complex is important in the normal double-strand break repair function of breast cancer, type 1 (BRCA1). This gene may be a target of germline cancer-inducing mutations.



Aliases:    OF; BACH1; FANCJ    

Entrez GeneID:    83990    

Swissprot :   Q9BX63    

WB Predicted band size:    140.8kDa    

Host/Isotype :   Mouse IgG1    

Species Reactivity:    Human    

Immunogen :   Purified recombinant fragment of human BRIP1 (AA: 904-986) expressed in E. Coli.    

操作说明

IHC    1/200 - 1/1000    

FCM    1/200 - 1/400    

ELISA    1/10000    

参考文献