BNP单克隆抗体[8D5B1]

AccuSift
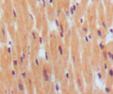
BNP Mouse Monoclonal antibody[8D5B1]
货号 名称 规格 价格 货期 数量
AC1300 BNP单克隆抗体[8D5B1] 50ug ¥1250 1周
AC1300 BNP单克隆抗体[8D5B1] 100ug ¥2200 1周

BNP (brain natriuretic peptide) belongs to a family of structurally similar peptide hormones, which includes atrial natriuretic peptide (ANP), BNP, C-type natriuretic peptide (CNP) and urodilatin. ANP and BNP act mainly as cardiac hormones, produced primarily by the atrium and ventricle, respectively, while the gene encoding C-type natriuretic peptide is expressed mainly in the brain. BNP circulates in blood as a peptide hormone with natriuretic, vasodilatory and renin inhibitory properties. It is secreted predominantly by the left ventricular myocytes in response to volume expansion and pressure overload. These peptides are characterized by a common 17 amino acid ring structure with a disulfide bond between two cystein residues. This ring structure shows high homology between different natriuretic.



Aliases :   BNP; NPPB    

Entrez GeneID :   4879    

Swissprot:    P16860    

Host/Isotype :   Mouse IgG1    

Species Reactivity:    Human    

Immunogen :   Synthetic peptide corresponding to aa (Cys-Phe-Gly-Arg-Lys-Met-Asp-Arg-Ile-Ser-Ser-Ser-Ser) of human BNP, conjugated to KLH.    

操作说明

IHC    1/200 - 1/1000    

ELISA    1/10000    

参考文献