BNIP3单克隆抗体[6A5F7]

AccuSift
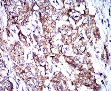
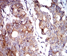
BNIP3 Mouse Monoclonal antibody[6A5F7]
NIP3
货号 名称 规格 价格 货期 数量
AC1297 BNIP3单克隆抗体[6A5F7] 50ug ¥1250 1周
AC1297 BNIP3单克隆抗体[6A5F7] 100ug ¥2200 1周

This gene is encodes a mitochondrial protein that contains a BH3 domain and acts as a pro-apoptotic factor. The encoded protein interacts with anti-apoptotic proteins, including the E1B 19 kDa protein and Bcl2. This gene is silenced in tumors by DNA methylation.



Aliases :   NIP3    

Entrez GeneID :   664    

Swissprot :   Q12983    

WB Predicted band size:    21.5kDa    

Host/Isotype :   Mouse IgG2a    

Species Reactivity :   Human    

Immunogen :   Purified recombinant fragment of human BNIP3 (AA: 50-155) expressed in E. Coli.    

操作说明

IHC    1/200 - 1/1000    

IF/ICC    1/50 - 1/250    

FCM    1/200 - 1/400    

ELISA    1/10000    

参考文献