BMPR1A单克隆抗体[4B72]

AccuSift
BMPR1A Mouse Monoclonal antibody[4B72]
ALK3; SKR5; CD292; ACVRLK3; 10q23del
货号 名称 规格 价格 货期 数量
AC1291 BMPR1A单克隆抗体[4B72] 50ug ¥1250 1周
AC1291 BMPR1A单克隆抗体[4B72] 100ug ¥2200 1周

The bone morphogenetic protein (BMP) receptors are a family of transmembrane serine/threonine kinases that include the type I receptors BMPR1A and BMPR1B and the type II receptor BMPR2. These receptors are also closely related to the activin receptors, ACVR1 and ACVR2. The ligands of these receptors are members of the TGF-beta superfamily. TGF-betas and activins transduce their signals through the formation of heteromeric complexes with 2 different types of serine (threonine) kinase receptors: type I receptors of about 50-55 kD and type II receptors of about 70-80 kD. Type II receptors bind ligands in the absence of type I receptors, but they require their respective type I receptors for signaling, whereas type I receptors require their respective type II receptors for ligand binding.



Aliases:    ALK3; SKR5; CD292; ACVRLK3; 10q23del    

Entrez GeneID:    657    

Swissprot:    P36894       

WB Predicted band size:    60kDa    

Host/Isotype :   Mouse IgG1      

Species Reactivity:    Human    

Immunogen:    Purified recombinant fragment of human BMPR1A (AA: 179-378 ) expressed in E. Coli.    

操作说明

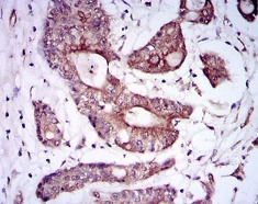
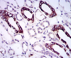
IHC    1/200 - 1/1000    

FCM    1/200 - 1/400    

ELISA    1/10000    

参考文献