BLK单克隆抗体[9D10B]

AccuSift
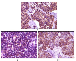
BLK Mouse Monoclonal antibody[9D10B]
MGC10442; BLK
货号 名称 规格 价格 货期 数量
AC1281 BLK单克隆抗体[9D10B] 50ug ¥1250 1周
AC1281 BLK单克隆抗体[9D10B] 100ug ¥2200 1周

BLK ( B lymphoid tyrosine kinase), with 505-amino acid protein (about 56KDa), belongs to the Src non-receptor tyrosine kinases family.Different subcellular localizations of Src-family kinases may be important for the regulation of specific cellular processes such as mitogenesis, cytoskeletal organization, and membrane trafficking.Blk is expressed exclusively by B lymphocytes and it is thought to function in a signal transductory pathway specific to this lineage. B lymphoid expression of an active Blk mutant caused proliferation of B progenitor cells and enhanced responsiveness of these cells to interleukin 7. Thus, sustained activation of Blk induces responses normally associated with the pre-BCR.



Aliases:    MGC10442    

Entrez GeneID:    640    

Swissprot :   P51451    

Host/Isotype:    Mouse IgG1    

Species Reactivity:    Human    

Immunogen :   Purified recombinant fragment of BLK expressed in E. Coli.    

操作说明

IHC    1/200 - 1/1000    

ELISA    1/10000    

参考文献