BIRC5单克隆抗体[1H5D3]

AccuSift
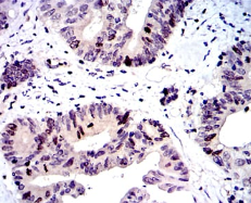
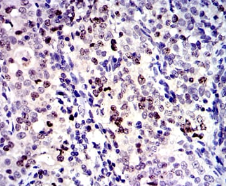
BIRC5 Mouse Monoclonal antibody[1H5D3]
API4; EPR-1
货号 名称 规格 价格 货期 数量
AC1278 BIRC5单克隆抗体[1H5D3] 50ug ¥1250 1周
AC1278 BIRC5单克隆抗体[1H5D3] 100ug ¥2200 1周

This gene is a member of the inhibitor of apoptosis (IAP) gene family, which encode negative regulatory proteins that prevent apoptotic cell death. IAP family members usually contain multiple baculovirus IAP repeat (BIR) domains, but this gene encodes proteins with only a single BIR domain. The encoded proteins also lack a C-terminus RING finger domain. Gene expression is high during fetal development and in most tumors, yet low in adult tissues. Alternatively spliced transcript variants encoding distinct isoforms have been found for this gene.



Aliases:    API4; EPR-1    

Entrez GeneID:    332    

Swissprot:    O15392    

WB Predicted band size:    16kDa    

Host/Isotype :   Mouse IgG1    

Species Reactivity:    Human    

Immunogen :   Purified recombinant fragment of human BIRC5 expressed in E. Coli.    

操作说明

WB    1/500 - 1/2000    

IHC    1/200 - 1/1000    

IF/ICC    1/200 - 1/1000    

FCM    1/200 - 1/400    

ELISA    1/10000    

参考文献