BDH1单克隆抗体[1A5C3]

AccuSift
BDH1 Mouse Monoclonal antibody[1A5C3]
BDH; SDR9C1; MGC2723; MGC4347; MGC9788; BDH1
货号 名称 规格 价格 货期 数量
AC1270 BDH1单克隆抗体[1A5C3] 50ug ¥1250 1周
AC1270 BDH1单克隆抗体[1A5C3] 100ug ¥2200 1周

BDH1 (3-hydroxybutyrate dehydrogenase, type 1), it is a member of the short-chain dehydrogenase/reductase gene family. This protien forms a homotetrameric lipid-requiring enzyme of the mitochondrial membrane and has a specific requirement for phosphatidylcholine for optimal enzymatic activity. It catalyzes the interconversion of acetoacetate and (R)-3-hydroxybutyrate, the two major ketone bodies produced during fatty acid catabolism.



Aliases:    BDH    

Entrez GeneID:    622    

Swissprot :   Q02338     

WB Predicted band size :   38kDa    

Host/Isotype:    Mouse IgG1    

Species Reactivity :   Human,Mouse    

Immunogen :   Purified recombinant fragment of human BDH1 expressed in E. Coli.    

操作说明

WB    1/500 - 1/2000    

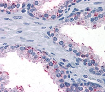
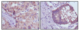
IHC    1/200 - 1/1000    

ELISA    1/10000    

参考文献