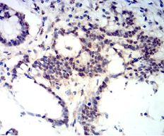
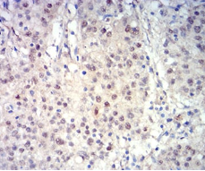
BCL11B单克隆抗体[1F8G8]

AccuSift
BCL11B Mouse Monoclonal antibody[1F8G8]
ATL1; RIT1; CTIP2; IMD49; CTIP-2; ZNF856B; ATL1-beta; ATL1-alpha; ATL1-delta; ATL1-gamma; hRIT1-alpha
货号 名称 规格 价格 货期 数量
AC1253 BCL11B单克隆抗体[1F8G8] 50ug ¥1250 1周
AC1253 BCL11B单克隆抗体[1F8G8] 100ug ¥2200 1周

This gene encodes a C2H2-type zinc finger protein and is closely related to BCL11A, a gene whose translocation may be associated with B-cell malignancies. Although the specific function of this gene has not been determined, the encoded protein is known to be a transcriptional repressor, and is regulated by the NURD nucleosome remodeling and histone deacetylase complex. Four alternatively spliced transcript variants encoding distinct isoforms have been found for this gene.



Aliases :   ATL1; RIT1; CTIP2; IMD49; CTIP-2; ZNF856B; ATL1-beta; ATL1-alpha; ATL1-delta; ATL1-gamma; hRIT1-alpha    

Entrez GeneID:    64919    

Swissprot :   Q9C0K0    

WB Predicted band size :   95.5kDa    

Host/Isotype :   Mouse IgG1    

Species Reactivity:    Human    

Immunogen:    Purified recombinant fragment of human BCL11B (AA: 1-150) expressed in E. Coli.    

操作说明

IHC    1/200 - 1/1000    

IF/ICC    1/50 - 1/250    

FCM    1/200 - 1/400    

ELISA    1/10000    

参考文献