B7H3单克隆抗体[8C1C2]

AccuSift
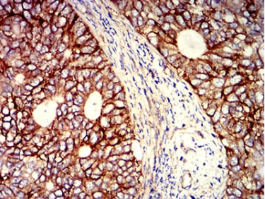
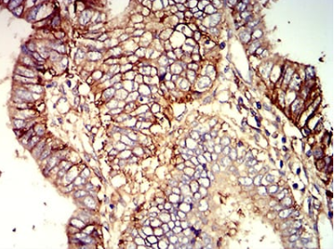
B7H3 Mouse Monoclonal antibody[8C1C2]
CD276; B7-H3; B7RP-2; 4Ig-B7-H3
货号 名称 规格 价格 货期 数量
AC1236 B7H3单克隆抗体[8C1C2] 50ug ¥1250 1周
AC1236 B7H3单克隆抗体[8C1C2] 100ug ¥2200 1周

The protein encoded by this gene belongs to the immunoglobulin superfamily, and thought to participate in the regulation of T-cell-mediated immune response. Studies show that while the transcript of this gene is ubiquitously expressed in normal tissues and solid tumors, the protein is preferentially expressed only in tumor tissues. Additionally, it was observed that the 3' UTR of this transcript contains a target site for miR29 microRNA, and there is an inverse correlation between the expression of this protein and miR29 levels, suggesting regulation of expression of this gene product by miR29. Alternatively spliced transcript variants encoding different isoforms have been found for this gene.

    

Aliases:    CD276; B7-H3; B7RP-2; 4Ig-B7-H3    

Entrez GeneID:    80381    

Swissprot:    Q5ZPR3    

WB Predicted band size:    57.2kDa    

Host/Isotype :   Mouse IgG1    

Species Reactivity:    Human    

Immunogen:    Purified recombinant fragment of human B7H3 (AA: extra 29-466) expressed in HEK293 cells.    

操作说明

IHC    1/200 - 1/1000    

IF/ICC    1/100 - 1/500    

FCM    1/200 - 1/400    

ELISA    1/10000    

参考文献