B4GALNT1单克隆抗体[4G11]

AccuSift
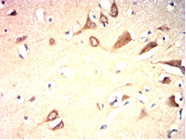
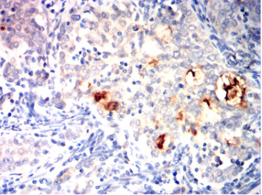
B4GALNT1 Mouse Monoclonal antibody[4G11]
GALGT; SPG26; GALNACT; GalNAc-T
货号 名称 规格 价格 货期 数量
AC1234 B4GALNT1单克隆抗体[4G11] 50ug ¥1250 1周
AC1234 B4GALNT1单克隆抗体[4G11] 100ug ¥2200 1周

GM2 and GD2 gangliosides are sialic acid-containing glycosphingolipids. GalNAc-T is the enzyme involved in the biosynthesis of G(M2) and G(D2) glycosphingolipids. GalNAc-T catalyzes the transfer of GalNAc into G(M3) and G(D3) by a beta-1,4 linkage, resulting in the synthesis of G(M2) and G(D2), respectively. Three transcript variants encoding different isoforms have been found for this gene.

    

Aliases : GALGT; SPG26; GALNACT; GalNAc-T    

Entrez GeneID:  2583    

Swissprot:  Q00973     

WB Predicted band size : 58.9kDa    

Host/Isotype:  Mouse IgG1    

Species Reactivity:  Human, Mouse, Monkey    

Immunogen:  Purified recombinant fragment of human B4GALNT1 (AA: 26-225) expressed in E. Coli.    


操作说明

WB    1/500 - 1/2000    

IHC    1/200 - 1/1000    

FCM    1/200 - 1/400    

ELISA    1/10000    

参考文献