B2M单克隆抗体[3G5H]

AccuSift
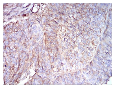
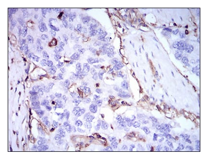
B2M Mouse Monoclonal antibody[3G5H]
IMD43
货号 名称 规格 价格 货期 数量
AC1229 B2M单克隆抗体[3G5H] 50ug ¥1250 1周
AC1229 B2M单克隆抗体[3G5H] 100ug ¥2200 1周

This gene encodes a serum protein found in association with the major histocompatibility complex (MHC) class I heavy chain on the surface of nearly all nucleated cells. The protein has a predominantly beta-pleated sheet structure that can form amyloid fibrils in some pathological conditions. A mutation in this gene has been shown to result in hypercatabolic hypoproteinemia.

   

Entrez GeneID :   567    

Swissprot :   P61769        

WB Predicted band size : 13.7kDa    

Host/Isotype :  Mouse IgG2a    

Species Reactivity:  Human    

Immunogen:  Purified recombinant fragment of human B2M (AA: 21-100) expressed in E. Coli.    


操作说明

WB    1/500 - 1/2000    

IHC    1/200 - 1/1000    

FCM    1/200 - 1/400    

ELISA    1/10000    

参考文献