AURKB单克隆抗体[13E8D]

AccuSift
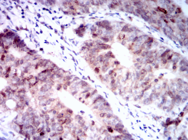
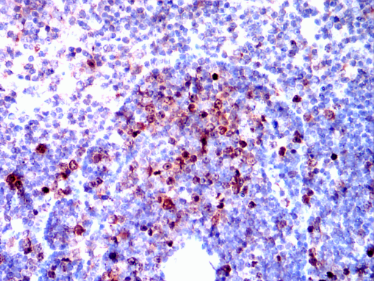
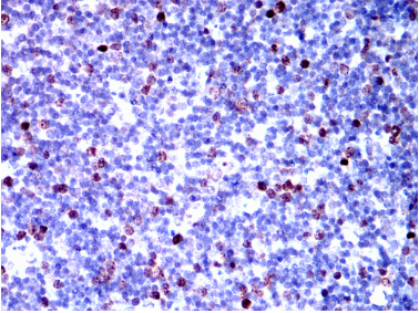
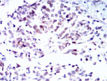
AURKB Mouse Monoclonal antibody[13E8D]
AIK2; AIM1; ARK2; AurB; IPL1; STK5; AIM-1; STK12; AURKB
货号 名称 规格 价格 货期 数量
AC1224 AURKB单克隆抗体[13E8D] 50ug ¥1250 1周
AC1224 AURKB单克隆抗体[13E8D] 100ug ¥2200 1周

AURKB (aurora kinase B, AIK2 or aurora-B), with 344-amino acid protein(about 39kDa),localizes to microtubules near kinetochores, specifically to the specialized microtubules called K-fibers. AURKB is a mitotic protein kinase, which phosphorylates histone H3 and regulates Chromosomal segregation during mitosis and meiosis.It may regulates several stages of mitosis such as centrosome separation, chromosome segregation and cytokinesis.Component of the chromosomal passenger complex (CPC), a complex that acts as a key regulator of mitosis. The CPC complex has essential functions at the centromere in ensuring correct chromosome alignment and segregation and is required for chromatin-induced microtubule stabilization and spindle assembly. ARK-2 transcripts arepresent at high levels in human thymus and fetal liver.ARK-2 protein levels are maximal during both S and G2/M phases


Aliases:  AURKB    

Entrez GeneID: 9212    

Swissprot:  Q96GD4    

Host/Isotype:  Mouse IgG1    

Species Reactivity:   Human, Rat, Mouse, Monkey, Rabbit    

Immunogen:  Purified recombinant fragment of AURKB expressed in E. Coli.    


操作说明

WB    1/500 - 1/2000    

IHC    1/200 - 1/1000    

ELISA    1/10000    

参考文献