ATXN1单克隆抗体[4C7B1]

AccuSift
ATXN1 Mouse Monoclonal antibody[4C7B1]
ATX1; SCA1; D6S504E
货号 名称 规格 价格 货期 数量
AC1218 ATXN1单克隆抗体[4C7B1] 50ug ¥1250 1周
AC1218 ATXN1单克隆抗体[4C7B1] 100ug ¥2200 1周

The autosomal dominant cerebellar ataxias (ADCA) are a heterogeneous group of neurodegenerative disorders characterized by progressive degeneration of the cerebellum, brain stem and spinal cord. Clinically, ADCA has been divided into three groups: ADCA types I-III. ADCAI is genetically heterogeneous, with five genetic loci, designated spinocerebellar ataxia (SCA) 1, 2, 3, 4 and 6, being assigned to five different chromosomes. ADCAII, which always presents with retinal degeneration (SCA7), and ADCAIII often referred to as the `pure' cerebellar syndrome (SCA5), are most likely homogeneous disorders. Several SCA genes have been cloned and shown to contain CAG repeats in their coding regions. ADCA is caused by the expansion of the CAG repeats, producing an elongated polyglutamine tract in the corresponding protein. The expanded repeats are variable in size and unstable, usually increasing in size when transmitted to successive generations. The function of the ataxins is not known. This locus has been mapped to chromosome 6, and it has been determined that the diseased allele contains 40-83 CAG repeats, compared to 6-39 in the normal allele, and is associated with spinocerebellar ataxia type 1 (SCA1). Alternative splicing results in multiple transcript variants, with one variant encoding multiple distinct proteins, ATXN1 and Alt-ATXN1, due to the use of overlapping alternate reading frames.

    

Aliases    ATX1; SCA1; D6S504E    

Entrez GeneID    6310    

Swissprot    P54253    

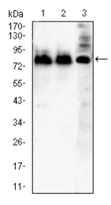
WB Predicted band size    86.9kDa    

Host/Isotype    Mouse IgG1     

Species Reactivity    Human,Mouse,Rat,Monkey    

Immunogen    Purified recombinant fragment of human ATXN1 (AA: 645-815) expressed in E. Coli.    

操作说明

WB    1/500 - 1/2000    

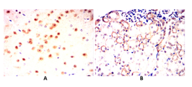
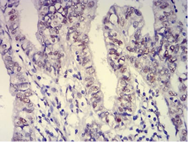
IHC    1/100 - 1/500    

FCM    1/200 - 1/400    

ELISA    1/10000    

参考文献