ATPIF1单克隆抗体[1F3B8]

AccuSift
ATPIF1 Mouse Monoclonal antibody[1F3B8]
IP; ATPI; ATPIP
货号 名称 规格 价格 货期 数量
AC1212 ATPIF1单克隆抗体[1F3B8] 50ug ¥1250 1周
AC1212 ATPIF1单克隆抗体[1F3B8] 100ug ¥2200 1周

This gene encodes a mitochondrial ATPase inhibitor. Alternative splicing occurs at this locus and three transcript variants encoding distinct isoforms have been identified.

    

Aliases    IP; ATPI; ATPIP    

Entrez GeneID    93974    

Swissprot    Q9UII2    

WB Predicted band size    12.3kDa    

Host/Isotype    Mouse IgG2b    

Species Reactivity    Human    

Immunogen    Purified recombinant fragment of human ATPIF1 (AA: 1-106) expressed in E. Coli.    


操作说明

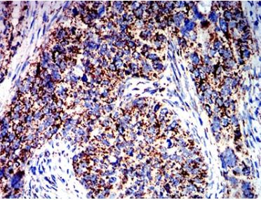
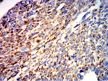
IHC    1/200 - 1/1000    

IF/ICC    1/100 - 1/500    

FCM    1/200 - 1/400    

ELISA    1/10000    

参考文献